Nothing can interrupt your day quite like painful or sensitive teeth. We offer same-day urgent appointments to assess, diagnose, and effectively manage the pain or discomfort caused. When necessary, an appointment at a later date will be arranged to continue and complete the treatment. We accept referrals for the treatment of advanced and complex root canal therapies. We use magnification, a microscope as well as the latest innovations in materials and methods for results in endodontics.

What do we offer?
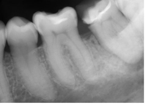
Root Canal Cases by Dr Dana Vosooghi
“Extremely professional environment. Ioannis is an excellent dentist. I am very happy with all of the extensive treatment that he has performed on me (implants, bridges, tooth reconstruction, etc.). He….”
“Excellent advice. I’d read very good reviews about Burgate Dental. I was asking for some advice on cosmetic dental treatment and Ioannis gave me a lot of very helpful information.….”
“I've been always nervous at the dentist. This practice is different from anywhere I've been before. Ioannis has discussed my options at my consultation and offered me advice customised to….”
“I had been putting off getting work done due to worrying about the complexity of my particular case, but on my first consultation Ioannis advised a plan of action that….”
“At Burgate Dental Practice, the staff are professional, friendly and welcoming and I am extremely happy with the result of my treatment. Each stage, including the costs, were thoroughly explained….”
“Excellent service, from the receptionists to the dentist and hygienist. I couldn’t fault anything and my teeth are finally in the hands of someone I trust. Thank you to everyone….”
“Very professional and dutiful service. Impressive from start to finish..”
“Lovely and professional staff, so happy with my bonding. Thank you!.”
“Great staff, professional service. I never felt this comfortable in any dental practice. While in severe pain, I almost visited all the dental practices to get an appointment in Canterbury,….”
“Had root canal treatment, painless and efficient. I have never had such stress free dental treatment..”
“My Husband, Father-in-Law, and I all attend the surgery. Dana is fantastic. She puts me at ease as she knows there are certain treatments I am very worried about. I….”
“First class service, always on time, very pleasant surroundings. Thank you..”
“The experience was great. I was greeted warmly and was seen by the hygienist on time. The appointment was informative and thorough, I found the plaque identifier dye useful and….”
“They are great, super accommodating and friendly and fantastic service..”
“My son Billee would like to thank Ioannis and his amazing team for such a brilliant service. He broke his front tooth at the age of 7. Other dentists over….”
“Great dentist; did an amazing job straightening out my crooked teeth. Has a lovely manner and beautiful practice right in the heart of Canterbury. Would highly recommend..”
“I was recommended Burgate Dental through a friend and after a detailed consultation. Decided to go ahead with the dental bonding of 4 teeth, to help the appearance of my….”
“I was recommended Burgate Dental Surgery and I am extremely pleased with my new dentist. I have been coming here for the last few months now and I am very….”
“Great dental practice. Kind and caring. I am very happy with my partial denture. I look forward to enjoying my food now I will be able to bite and chew….”
“Best dentistry I have ever received. A very well-managed and run operation. All the team are extremely professional and friendly and are passionate about what they do. The surgery and….”
“Thank you for the care and attention that you have been giving me for the last few years. When I first came to you, I was a very anxious patient,….”
“When it comes to my dental and aesthetic needs, I feel I am in the best hands with Ioannis. His attention to detail, perfectionism in his work, and genuine care….”
“Very professional and friendly service. Ioannis is skilled and takes both pride in and responsibility for his work. You are in safe hands..”